|
“最美妈妈”吴菊萍接住从10楼坠落孩子 致手臂骨折 孩子幸存

事件示意图 摄影 贾代腾飞 制图 高薇

躺在病床上的吴菊萍 记者 贾代腾飞 摄

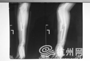
吴菊萍左手臂尺桡骨断成了三截

吴菊萍丈夫从记者手中接过快报送的水果篮
昨天中午,很多电话打进快报85100000热线,非常激动地讲着同一件事:一个孩子从10楼坠落,被一个女人用双手接住了!
最早的一则电话是12:34,曹女士打进来的:
滨江长河路白金海岸小区,就是靠近四桥这里,有个孩子从10楼掉下来。听说是因为当时家里没大人。正好楼下有个30多岁的女人经过,接住了孩子。这个救人的女人骨折了,现在警车刚刚过来,120车子还没来,伤者可能还没有送到医院。
见习记者陈健核实报道:
从10楼坠落的是个女孩,叫“妞妞”,两周岁零一个月大。
妞妞非常幸运!从10楼坠落,被一位过路的女士奇迹般地用双手接住了。
参与救“妞妞”的人,还有好几位。
昨天中午12:15,白金海岸小区居民张女士,午饭后抱着15个月的儿子,在花园散步,走到凉亭,突然听见头顶上传来一阵小孩的哭声,她还听见有个老太太大声喊:“别爬!别爬!别爬!”
“我以为是对面有大人在打孩子,就走出凉亭抬头一看,22幢3单元10楼的大妈站在阳台上,朝2单元那边很慌张地大喊。”
张女士顺着大妈面对的方向再看,发现一户人家的窗沿上,居然坐着一个很小的孩子!
“我看着小孩先把右腿跨出了窗外,然后又用手拉着窗户,左腿很快也跨了出来。小孩爬得很快,大约只有1分钟时间,整个人就挂在窗台上了。”
2单元901室的潘先生,就住在妞妞家楼下,他也是听见3单元那位大妈的喊声才跑出来看。“我看到孩子时,她已经挂在阳台上了,两只手使劲扒着窗台,脚下是悬空的。”潘先生说。
潘先生马上冲到阳台上,把靠在墙上的一副2.5米高的梯子拉了出来。901的阳台与1001卧室的窗台,斜着距离约为3米,潘先生伸长胳膊把梯子举出去,想把孩子的脚接住,可梯子前端刚刚碰到孩子的脚底。
潘先生说,“我想让她的腿卡在梯子的木格子里,再把孩子拉回来。一边叫家里人快去楼上,叫孩子屋里人快开门救人。”
潘先生的弟弟马上跑上楼,看见孩子的奶奶正在1001门口撬门,小胡说,“对面1002室住户也在帮忙救人。可是门是被从里面反锁的,怎么也打不开。”
在窗台上坚持1分多钟后,孩子终于支持不住,掉了下去。
“我看见孩子一松手,就用梯子挡了一下,可是没有挡住。”潘先生最后的努力,让孩子的身体在空中转了方向。妞妞的头向后仰,脸朝上平躺着摔了下去。
20幢7楼的保姆胡阿姨,看到了孩子下落时的情况。20幢正对22幢楼,胡阿姨正在厨房做饭,听到有人喊,就走到阳台上。
“孩子刚往下掉的时候脸是朝上的,可是身体很快就打转了,落得很快。大概横着转了两圈,就掉到了二楼的位置。”胡阿姨回忆时还在后怕,“一楼被树挡住了看不见,我想,完了,肯定完了,肯定没救了……”
这时,住22幢2单元1楼的徐女士,打开自家窗户看见,楼下一位女士左侧身体着地,斜躺在绿化带里,连声说“很疼很疼”,孩子倒在女士头部右边,没有一点声音。
几分钟后,孩子哭了一声。
孩子还吊在窗台时,保安就赶到了现场。一位保安说,他和两个同事正在楼下想办法救人,孩子就从楼上落了下来,他马上抱起孩子,跑到小区门口,另一个保安拨打了120。
120赶到,把孩子和受伤的女士一起送到医院。
|